不孕不育 • 体外受精 上海永远幸妇科医院 /

首页>咨询天地>走群众路线——次级卵泡促排

■ 走群众路线——次级卵泡促排

图片



✦永远幸✦



《试管百科》


图片


今天来讲一下“次级卵泡促排卵”这个技术,在卵泡大小差异很大的情况下,应该怎么促排卵对患者才好呢?教科书上都写着主导卵泡达到18毫米扳机,如果一味按照主导卵泡大小就决定扳机时间的话,就可能只有一个成熟卵泡,其余卵泡都没有成熟,很可能患者的结局也不太好。



TOWAKO

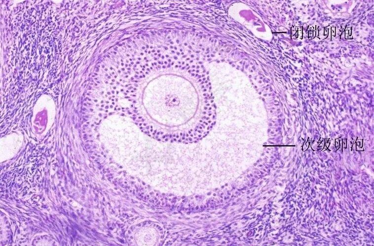
卵泡的生长过程

首先卵泡是在卵巢中正常发育的,其发育生长的过程分为三部分:分别为原始卵泡、生长卵泡和成熟卵泡三个阶段,其中生长卵泡包括初级卵泡和次级卵泡两种。

卵泡由卵母细胞和卵泡细胞组成,原始卵泡不分泌激素,初级卵泡出现透明带,一般也没有分泌基础。到了次级卵泡,是可以有卵泡腔的,也可以有内卵泡膜细胞和外卵泡膜细胞,分泌雌激素。到了成熟卵泡,也是分泌雌激素的。


图片



图片


从备孕的临床上讲,大部分募集的卵泡最终归宿是闭锁,不会成长为成熟卵泡,只有小部分继续发育,是卵泡的正常发育现象。高质量的次级卵泡,具有进一步培养以生成功能性卵母细胞的潜力。


TOWAKO

次级卵泡促排

不同的患者卵泡发育数量和质量各不相同,如果患者有一个主导卵泡和多个次级卵泡的情况下,我们就决定不管主导卵泡,走“群众路线”,把促排卵的目标对准其他的窦卵泡。按照这个思路,继续用药,看卵泡大小、雌二醇都不错,时机成熟,就可以决定扳机。扳机后延迟取卵(40小时周期),很多困难患者次级卵泡都获卵,最终获得可用的胚胎,进行冷冻。


图片



图片

在临床上我们也会思考为什么扳机只看主导卵泡,不能走群众路线?怎么样才能让患者获得更多的好胚胎?

次级卵泡促排卵走的是群众路线,和传统的内分泌观念不一样。这就为促排卵提供了很高的灵活性,次级卵泡促排卵诞生的时间也早,已经超过10年了。次级卵泡也有发展潜力,我院的匡教授还专门做了一个次级卵泡促排卵的研究,证明次级卵泡也是好卵泡。


图片




图片


促排卵是试管助孕中的关键环节,也是试管周期迈向成功的第一步。促排卵的目的是为了让试管姐妹们获得足够数量的成熟卵母细胞,这一过程取决于每个患者卵巢对促排药物刺激的反应性。越来越多的研究表明,卵巢反应性很大程度上与患者的个体因素有关,如何关注好每一位患者的身体情况,因人而宜的制定个体化的促排策略是我们永远幸一直在努力的方向。


图片


需要预约匡主任专家号可以直接加微信咨询预约13122802867


官方微信

地址:中国(上海)自由贸易试验区富特西一路477号

邮箱:info@towako.cn

全国服务热线:021-55078288